Gratis konsultation för Invisalign och tandreglering
Gratis konsultation online
Gratis Invisalign- och tandregleringskonsultation online
Gratis Invisalignkonsultation är No.8 Ortodontis kostnadsfria onlinetjänst, ett verktyg för dig som vill ha mer specifik information om tandställning och Invisalign, baserat på ditt individuella fall och behov.
Följ stegen i formuläret nedan och skicka in det till oss. Vår specialist går genom formuläret och återkopplar kring dina behov, önskemål, och möjligheter med prisförslag inom två arbetsdagar.
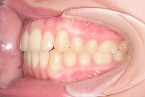
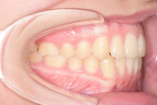
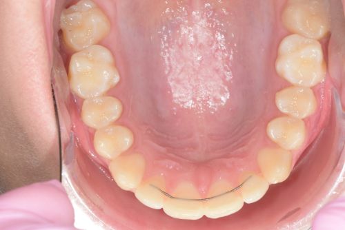
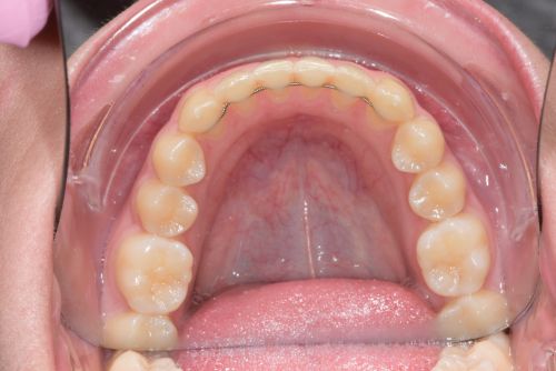
Var noga med att skriva korrekt mailadress när du fyller i formuläret. Ladda upp bilder på dina tänder som exempelbilderna. Bit ihop som normalt, var noga med att få så tydliga bilder, och få med flest tänder som möjligt, gärna på de områdena med speciella behov.
Vi återkopplar med ett prisförslag och hur vi skulle vilja gå vidare. Vi ser fram emot att få hjälpa just Dig – det är aldrig för sent att skaffa ditt drömleende. Välkommen!





Gratis konsultation online
Hur går en gratis Invisalign-konsultation online till?
Fyll i formuläret enligt anvisningar och skicka in det till oss. Enklare än så blir det inte! Konsultationen online är gratis och icke-bindande.
Om du skulle vilja gå vidare, är nästa steget efter konsultationen en klinisk undersökning. Då kan vi bekräfta den preliminära behandlingsplanen, och du kan komma igång med din egen resa mot ett vackert leende.
Vi ser fram emot att få hjälpa just dig!
Vill du boka en konsultation på kliniken redan nu? Boka här